Dr Kabre Bracelate Traning


















Home Page

About Us

Our Views

Course Details Module I

Course Details Module II

Course DetailsModule III Part I

Course Details Module III Part II

Course Schedule

Course Offers

Testimonials

Photo Gallery

FAQs

Our Alumni

Orthodontic Seminars

Contact Us

Registration Form

Privacy Policy


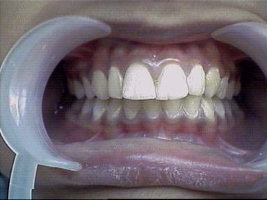
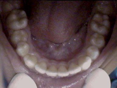
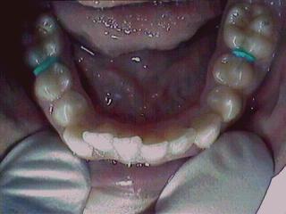
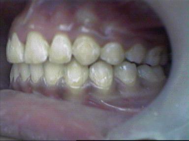
Class II Malocclusion

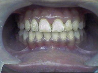
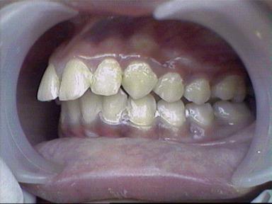
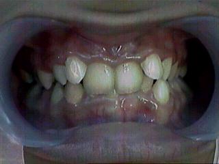
Malocclusion [Div.I]



Before Treatment Intra Oral


After Treatment Intra Oral






Before Treatment Intra Oral


After Treatment Intra Oral






Malocclusion [Div.II]



Before Treatment Intra Oral


After Treatment Intra Oral






Before Treatment Intra Oral


After Treatment Intra Oral






Before Treatment Intra Oral


After Treatment Intra Oral









Created and Hosted by trekkingwithbirdy.com +91 9223403281